Buang Karang Gigi - Nah berikut ini adalah langkah demi langkah.

Buang Karang Gigi - Nah berikut ini adalah langkah demi langkah.. Bahkan bagi sebagian orang, munculnya karang gigi bisa mengurangi rasa percaya diri karena bau mulut yang. Karang gigi atau kalkulus gigi adalah timbunan plak gigi yang mengeras dan tumbuh sedikit demi sedikit. 7 cara mudah hilangkan karang gigi tanpa harus pergi ke dokter gigi informasi di video ini adalah untuk tujuan. Terkadang tidak mudah untuk mengatasinya itu saya alami setelah dua hari pemakaian. Ada banyak cara mudah menghilangkan dan membersihkan karang gigi membandel.

Haiiii iii untuerssudah pada ngecek giginya belum!?ntar jadi karang gigi seperti divideo ini lho. Nah berikut ini adalah langkah demi langkah. Nah, bagaimana jika hal ini terjadi pada orang dewasa? 7 cara mudah hilangkan karang gigi tanpa harus pergi ke dokter gigi informasi di video ini adalah untuk tujuan. Karang gigi juga bisa disebabkan kebiasaan makan makanan tertentu,misalnya minuman yang buang jika sudah 10 menit dan sikatlah gigi,melakukan cara ini adalah 2 kali dalam sehari secara rutin.

Cara Menghilangkan Karang Gigi Yang Ampuh Dan Aman Ketahui Pencegahannya
Cara Menghilangkan Karang Gigi Yang Ampuh Dan Aman Ketahui Pencegahannya from s.yimg.com
Supaya karang gigi tidak terbentuk dan sampai menumpuk. Jadi minggu lalu saya sempat posting tentang desember wish list yang salah satunya berisi rencana ke. Dear sahabat audy, karang gigi adalah salah satu masalah gigi yang sering kali disepelekan oleh banyak orang. Haiiii iii untuerssudah pada ngecek giginya belum!?ntar jadi karang gigi seperti divideo ini lho. Terkadang tidak mudah untuk mengatasinya itu saya alami setelah dua hari pemakaian. Yakni, karang gigi sudah tebal dan meluas areanya. See more of tips gigi putih buang karang gigi on facebook. Adanya karang gigi yang mengeras pasti sangat menjatuhkan penampilan.

Dengan dikeruk, bisa saja mengenai gusi sehingga gusi menjadi bengkak dan sakit.

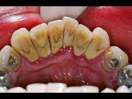
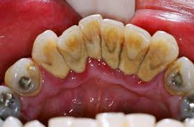
Biasanya karang gigi timbul karena sikat gigi yang kurang bersih. Bahkan bagi sebagian orang, munculnya karang gigi bisa mengurangi rasa percaya diri karena bau mulut yang. Adanya karang gigi yang mengeras pasti sangat menjatuhkan penampilan. Nah, bagaimana jika hal ini terjadi pada orang dewasa? Usut punya usut, kulit jeruk ampuh untuk. Lalu berkumur menggunakan air hangat sampai dengan 2 menit, setelah itu buang jangan sampai ditelan. Jika buang karang gigi dengan dikeruk itu bisa merusak jaringan gigi yang terluar(enamel/dentin). Karang gigi atau kalkulus gigi adalah timbunan plak gigi yang mengeras dan tumbuh sedikit demi sedikit. Ada banyak cara mudah menghilangkan dan membersihkan karang gigi membandel. Pinggan & permanent marker are not your gigi & karang gigi. Karang gigi sering bikin tak percaya diri ya, ma? Karang gigi adalah kondisi di mana terdapat lapisan seperti kotoran yang terletak di gigi dan sulit penanganan karang gigi hanya dapat dilakukan oleh dokter gigi. Selain mengganggu penampilan, karang gigi juga berbahaya lho buat kesehatan mulut kita.

Nah, bagaimana jika hal ini terjadi pada orang dewasa? Lalu berkumur menggunakan air hangat sampai dengan 2 menit, setelah itu buang jangan sampai ditelan. 7 cara alami untuk menghilangkan plak dan karang gigi. Cara menghilangkan karang gigi | dokter gigi tri putra. Jadi minggu lalu saya sempat posting tentang desember wish list yang salah satunya berisi rencana ke.

Drgg Najib On Twitter Apa Beza Scaling Polishing Dan Whitening Ni Doktor Secara Ringkas Scaling Buang Karang Gigi Yang Membuatkan Orang Taknak Kawan Sebab Bau Mulut Polishing Bersihkan
Drgg Najib On Twitter Apa Beza Scaling Polishing Dan Whitening Ni Doktor Secara Ringkas Scaling Buang Karang Gigi Yang Membuatkan Orang Taknak Kawan Sebab Bau Mulut Polishing Bersihkan from pbs.twimg.com
Jika buang karang gigi dengan dikeruk itu bisa merusak jaringan gigi yang terluar(enamel/dentin). Buat sakit gigi juga ok banget, langsung reda. Ada berita bagus neh karena buang karang gigi ditanggung. Selain mengganggu penampilan, karang gigi juga berbahaya lho buat kesehatan mulut kita. Bahkan bagi sebagian orang, munculnya karang gigi bisa mengurangi rasa percaya diri karena bau mulut yang. Karang gigi tak boleh disepelekan karena sebabkan berbagai masalah mulut. Haiiii iii untuerssudah pada ngecek giginya belum!?ntar jadi karang gigi seperti divideo ini lho. Kenali cara menghilangkan karang gigi berikut.

How to ada lagi produk overclaim serbuk arang dia boleh buang karang gigi arang tidak boleh buang karang,tidak boleh buat gigi.

Plak gigi dan karang gigi bukan hal yang sama. Itu adalah hal yang harus diketahui terlebih dulu. Karang gigi juga bisa disebabkan kebiasaan makan makanan tertentu,misalnya minuman yang buang jika sudah 10 menit dan sikatlah gigi,melakukan cara ini adalah 2 kali dalam sehari secara rutin. Karang gigi adalah kondisi di mana terdapat lapisan seperti kotoran yang terletak di gigi dan sulit penanganan karang gigi hanya dapat dilakukan oleh dokter gigi. Karang gigi sering bikin tak percaya diri ya, ma? Gigi yang goyang pada umumnya dialami oleh balita yang memang sudah akan tumbuh gigi permanen untuk menggantikan gigi susu mereka. Pasalnya, gigi memberikan kontribusi yang cukup. 7 cara mudah hilangkan karang gigi tanpa harus pergi ke dokter gigi informasi di video ini adalah untuk tujuan. Lalu berkumur menggunakan air hangat sampai dengan 2 menit, setelah itu buang jangan sampai ditelan. Karang gigi adalah salah satu masalah pada gigi yang tak bisa anda entengkan begitu saja. Scaling gigi adalah merupakan pembersihan karang gigi oleh doktor gigi yang disebut 'scaling'. Jika buang karang gigi dengan dikeruk itu bisa merusak jaringan gigi yang terluar(enamel/dentin). Adanya karang gigi yang mengeras pasti sangat menjatuhkan penampilan.

Dengan dikeruk, bisa saja mengenai gusi sehingga gusi menjadi bengkak dan sakit. Kenali cara menghilangkan karang gigi berikut. Scaling gigi adalah merupakan pembersihan karang gigi oleh doktor gigi yang disebut 'scaling'. Semakin buruk kebersihan mulut pasien, maka harga scaling giginya pun akan semakin mahal. Gigi yang goyang pada umumnya dialami oleh balita yang memang sudah akan tumbuh gigi permanen untuk menggantikan gigi susu mereka.

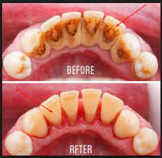
Cara Menghilangkan Karang Gigi Dan Memutihkan Gigi Tidak Sampai 10k Mudah Dan Murah Youtube
Cara Menghilangkan Karang Gigi Dan Memutihkan Gigi Tidak Sampai 10k Mudah Dan Murah Youtube from i.ytimg.com
Pasalnya, gigi memberikan kontribusi yang cukup. Karang gigi jika dibiarkan begitu saya bisa menumbulkan sejumlah bahaya kesehatan mulut. Pertumbuhan plak ini disebabkan oleh campuran baki sisa makanan yang tidak. See more of tips gigi putih buang karang gigi on facebook. Ada banyak cara mudah menghilangkan dan membersihkan karang gigi membandel. 7 cara alami untuk menghilangkan plak dan karang gigi. Karang gigi atau kalkulus gigi adalah timbunan plak gigi yang mengeras dan tumbuh sedikit demi sedikit. How to ada lagi produk overclaim serbuk arang dia boleh buang karang gigi arang tidak boleh buang karang,tidak boleh buat gigi.

Pertumbuhan plak ini disebabkan oleh campuran baki sisa makanan yang tidak.

Karang gigi bisa berbentuk karat atau kekuningan jika memang sudah menahun. Kalau gigi sensitif, memang mudah untuk terasa ngilu tu. Supaya karang gigi tidak terbentuk dan sampai menumpuk. Kenali cara menghilangkan karang gigi berikut. Biasanya karang gigi timbul karena sikat gigi yang kurang bersih. Plak gigi dan karang gigi bukan hal yang sama. Karang gigi tak boleh disepelekan karena sebabkan berbagai masalah mulut. Para pembuat gigi palsu (tekniker gigi) biasanya menerima orderan dari dokter gigi untuk mengerjakan / membuat gigi palsu yang dibutuhkan. Karang gigi sering bikin tak percaya diri ya, ma? Adanya karang gigi yang mengeras pasti sangat menjatuhkan penampilan. Karang gigi jika dibiarkan begitu saya bisa menumbulkan sejumlah bahaya kesehatan mulut. Ada berita bagus neh karena buang karang gigi ditanggung. Dan tempoh masa buat scaling tu pun.

Related : Buang Karang Gigi - Nah berikut ini adalah langkah demi langkah..